분과별 전문의 협진
진심에서 시작됩니다.
늘 초심으로 진료하겠습니다.
학생 시절, 치주과학은 가장 싫어하는 과목이었습니다.
잇몸과 뼈, 보이지 않는 곳을 다룬다는게 낯설고 재미도 없었습니다.
그러다 병원 실습에서 처음 마주한 현실은 충격적이었습니다.
잇몸질환이 심해져 한번에 열 개 넘는 치아를 발치해야하는 환자분들을 보며
그동안 제가 몰랐던 세계가 있다는 걸 알게 되었습니다
단순히 ‘치아’의 문제가 아니라 누군가의 삶까지 흔들릴 수 있다는 걸 그때 처음 느꼈습니다.
그러다 실습 중 어머니의 입안을 처음 보게 되었습니다.
안엔 이미 임플란트가 10개나 심어져 있었습니다. 그때 결심했습니다.
그렇게 저는 가장 싫어했던 과목을, 전문의, 진료교수, 박사과정까지 공부하게 되었습니다.
아프다고 쉽게 뽑지 않겠습니다. · 살릴 수 있다면 끝까지 노력을 다하겠습니다.
그때 그 마음 잊지 않고, 지금도 초심으로 진료하겠습니다.
저희 치과가 환자분에게 도움이 되는 곳이 되길 진심으로 바랍니다.
대표원장 장재원 올림
좌우 스크롤로 더 많은 내용을 확인하실 수 있습니다
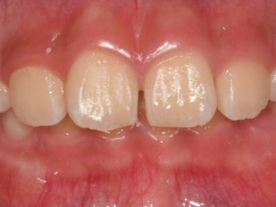
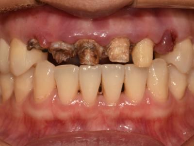
실제 진료 케이스를 확인하세요.
치과 겁쟁이를 위한 치과

과거의 불편한 치과 경험,
새로운 경험으로
바꿔드립니다.
치과치료는 아프다는 고정관념,
디어스 치과는 그 인식부터 바꾸고 싶습니다.
무통마취 시스템과 의료진의 진심 어린 마음으로
모든 과정을 설계합니다.

강동구치과
1.먼저 구분하는 ‘위험 신호’
대부분의 치과 증상은 단계적으로 진행하지만, 일부는 빠른 확인이 필요할 수 있습니다. 아래는 “일반적인 불편”과 구분해 먼저 체크하는 항목들입니다.
- 부종이 빠르게 커지거나 열감·심한 통증이 동반
- 고름/악취, 입 벌리기 어려움(개구 제한) 느낌
- 통증이 점점 강해지고 진통제로도 조절이 어려움
- 외상(부딪힘) 후 치아가 흔들리거나 깨짐
2.치과에서 흔히 하는 검사 흐름
일반적으로 문진(증상·기간·유발 자극) → 구강검사 → 필요 시 영상검사로 원인을 좁혀갑니다. 증상만으로 결론을 단정하기 어려운 경우가 있어, 검사 결과에 따라 계획이 달라질 수 있습니다.
- 찬/뜨거운 자극에서 통증이 얼마나 오래 가는지
- 씹을 때만 아픈지, 가만히 있어도 욱신거리는지
- 최근 치료·보철이 있는지(교합 변화 포함)
3.시림 vs 통증: 체감 차이로 보는 분기
시림은 “자극이 사라지면 금방 괜찮아지는지”가, 통증은 “남는지/반복되는지”가 분기점으로 쓰이곤 합니다. 다만 개인차가 커서 단정은 어렵습니다.
4.씹을 때만 아픈 경우의 체크 포인트
저작통은 교합(맞물림), 보철 적합도, 잇몸/치주 상태, 치아 금(크랙) 등 다양한 가능성이 있습니다.
- 특정 치아만 “툭” 아픈지, 넓게 불편한지
- 한쪽으로만 씹을 때 심해지는지
- 최근 보철/충전 후 “높게 닿는” 느낌이 있는지
5.잇몸 출혈·부종: 관리의 핵심 축
잇몸 출혈은 치태·치석, 칫솔질 습관, 염증 등 요인이 섞일 수 있습니다. 스케일링은 치석 제거를 위한 처치로 안내되는 경우가 많으며(개인차), 상태에 따라 관리가 달라질 수 있습니다.
6.신경치료(근관치료)가 언급되는 경우
신경치료는 치아 내부(근관)를 다루는 치료로 설명됩니다. 염증 범위, 근관 형태, 치아 상태에 따라 내원 횟수·기간은 달라질 수 있어 일반화하기 어렵습니다.
7.보철·임플란트: ‘유지관리’ 관점
보철·임플란트는 시술 이후에도 위생관리와 교합 점검이 함께 다뤄지는 경우가 많습니다. 문제가 “갑자기” 생긴 것처럼 느껴져도, 누적된 자극/염증이 영향을 주는 경우도 있습니다(개인차).
- 음식물 끼임이 갑자기 늘었는지
- 잇몸 출혈·붓기·통증이 반복되는지
- 씹을 때 이물감/걸리는 느낌이 지속되는지
8.발치/사랑니 후 주의 신호
발치 후 통증·부종은 개인차가 큽니다. 일반적으로는 시간이 지나며 완화되는지, 악화되는지를 관찰합니다.
- 출혈이 오래 지속되거나 점점 심해짐
- 부종이 급격히 커지거나 열감이 동반
- 악취/고름 같은 염증 신호
9.초보용 구강관리 루틴(실행형)
루틴은 복잡할수록 실패하기 쉬워서 “칫솔질 + 치간 관리 + 점검” 3단계로 단순화하는 방식이 자주 쓰입니다.
- 식후 칫솔질: 잇몸 경계(치은연)를 부드럽게
- 치간 관리: 치실/치간칫솔로 “끼는 곳” 중심
- 주 1회 점검: 출혈/부종 부위 체크(반복되면 평가)
치과는 아플 때만 가면 되나요?
통증이 없더라도 충치·잇몸 문제는 진행되는 경우가 있어 정기 점검이 도움이 될 수 있다는 안내가 많습니다. 다만 개인 상태에 따라 주기와 필요성은 달라질 수 있습니다.
치실 쓰면 피가 나는데 계속 해야 하나요?
초기에는 염증이나 사용 습관 때문에 출혈이 있을 수 있습니다. 출혈이 지속되거나 통증·부종이 동반되면 확인이 필요할 수 있습니다.
씹을 때만 아픈데 충치인가요?
충치 외에도 교합 문제, 보철 적합도, 치아 금(크랙), 잇몸/치주 상태 등 다양한 가능성이 있습니다. 증상만으로 단정하기 어렵고 검사가 필요할 수 있습니다.
스케일링 후 시린 느낌이 생겼어요.
일시적인 시림이나 불편감을 느끼는 경우가 있을 수 있으나 개인차가 큽니다. 증상이 악화되거나 오래 지속되면 확인이 필요할 수 있습니다.
서울시 강동구 양재대로 1625
명일역 사거리 숨결TOWER 3F
월, 목 09:30 - 20:30
화,수,금 09:30 - 18:30
토, 일 09:30 - 14:00
일요일 매주 진료
점심 시간 13:00 - 14:00
[디어스 어린이 치과]
목 14:00 - 18:30
금 09:30 - 18:30
토,일 09:30 - 14:00
일요일 격주 진료
점심 시간 13:00 - 14:00








